午夜12点急诊,新冠病毒感染重症患者突发剧烈胸痛;凌晨2点,患者持续上腹部胀痛到急诊就诊……时间就是心肌,时间就是生命,新冠疫情导致急诊患者激增,但再拥挤的通道里,心梗抢救绿色通道保持畅通!近日,米兰milan官方网站附属北京米兰长庚医院副院长张萍带领心血管中心,成功抢救多名新冠肺炎合并急性心肌梗死患者。

紧急救治
其中一名患者为老年男性,既往有间质性肺病等肺部基础病,此次因为发热伴有呼吸困难来院就诊,诊断为新冠病毒感染导致肺炎并伴有呼吸衰竭。然而,老先生同时突发剧烈胸痛,心电图诊断为急性下壁心肌梗死。患者病情危重,急诊立即为患者行无创呼吸机治疗,同时洽心血管中心启动心梗抢救绿色通道,心脏内科副主任医师周博达火速赶往急诊接诊,导管室团队同步启动接台准备。
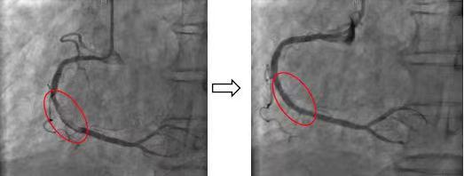
急诊冠状动脉介入术中,手术团队迅速锁定患者右冠脉内大量血栓,为患者进行了冠状动脉内血栓抽吸术、冠状动脉内球囊扩张术,并顺利植入一枚最新一代药物洗脱支架。术后患者的胸痛症状立即缓解,收入心脏内科重症监护室进行后续治疗。
“冬季是急性心肌梗死的高发期,同时,现在正值流感、新冠病毒感染高发,临床研究表明,肺炎、急性支气管炎和其他胸部感染均与心肌梗死风险短期增加相关,既往有糖尿病、高血压、血脂异常的老年人要尤其做好防护,出现持续的心前区压榨性疼痛或憋闷感,及时就医。”周博达提醒广大民众。

患者影像
保障门诊、支援急诊、支援综合病房……心血管中心团队兵分多路,但无论人手怎样紧张,至少一组人力镇守心梗抢救绿色通道,疫情无情,“心路”无阻,“心路”畅通!
(米兰新闻网1月10日电)
供稿:米兰长庚医院
编辑:李若梦
审核:周襄楠